| 项目介绍 | 检测原理:将石蜡包埋的类器官蜡块用切片机切成薄片,然后进行脱蜡处理以进行后续的染色和观察。 适用范围:广泛应用于类器官的组织学研究,如细胞定位、形态结构分析等。 检测意义:可进行连续切片,便于观察类器官的整体结构和细胞分布,但制片过程较为复杂,需要较长时间。 |
| 服务案例 |
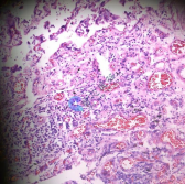
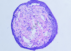
血管类器官HE染色 肺组织冰冻切片HE染色 |
发布日期:2025-07-10 浏览次数:
| 项目介绍 | 检测原理:将石蜡包埋的类器官蜡块用切片机切成薄片,然后进行脱蜡处理以进行后续的染色和观察。 适用范围:广泛应用于类器官的组织学研究,如细胞定位、形态结构分析等。 检测意义:可进行连续切片,便于观察类器官的整体结构和细胞分布,但制片过程较为复杂,需要较长时间。 |
| 服务案例 |
血管类器官HE染色 肺组织冰冻切片HE染色 |
截屏,微信识别二维码
微信号:13330202751
(点击微信号复制,添加好友)